Santé

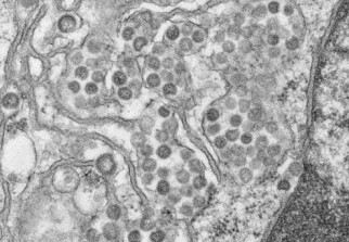
Coronavirus MERS: Trois nouveaux décès en Arabie Saoudite, 179 au total

Publié par Dknews le 25-05-2014, 18h29 | 23
|

Le ministère saoudien de la Santé a annoncé dimanche trois nouveaux décès dus au coronavirus MERS, portant à 179 le nombre de morts dans le royaume premier foyer de cette infection apparue en 2012.

Une femme de 40 ans est décédé à Ryadh et deux hommes de 34 et 74 ans à Jeddah, grande ville portuaire de la côte ouest. Le nombre d'infections totalise les 558, a précisé le ministère.

Outre l'Arabie Saoudite, des cas d'infection ont été recensés dans d'autres pays, dont la Jordanie, l'Egypte, le Liban, les Emirats arabes unis ou encore les Etats-Unis et les Pays-Bas, mais la majorité des personnes touchées avaient voyagé ou travaillé dans le royaume.

Le coronavirus MERS est considéré comme un cousin, plus mortel mais moins contagieux, du virus responsable du Syndrome respiratoire aigu sévère (SRAS), qui avait fait près de 800 morts dans le monde en 2003. Il n'existe pour l'heure aucun traitement préventif contre le coronavirus MERS.

L'organisation des Nations unies pour l'agriculture et l'alimentation (FAO) a appelé à «intensifier d'urgence» les recherches sur le  rôle des camélidés, en particulier les dromadaires, dans la propagation du Coronavirus MERS au Moyen-Orient. Lors d'une réunion technique régionale convoquée par la FAO dans le Sultanat d'Oman cette semaine, les participants ont souligné la «récente recrudescence de cas humains dans la péninsule arabique et le soupçon de transmission épizootique faisant intervenir en particulier les dromadaires», selon un communiqué de l'agence onusienne.

La majorité des cas ont eu lieu par transmission d'homme à homme, toutefois il reste à déterminer si les personnes ont été infectées en entrant en contact avec des sources environnementales ou animales, a estimé l'organisation. Au 21 mai, le MERS a entraîné plus de 630 maladies confirmées en laboratoire chez l'homme et plus de 190 décès depuis 2012, selon l'Organisation mondiale de la Santé.
 

|
Haut de la page

CHRONIQUES

  • Walid B

    Grâce à des efforts inlassablement consentis et à une efficacité fièrement retrouvée, la diplomatie algérienne, sous l’impulsion de celui qui fut son artisan principal, en l’occurrence le président de la République Abdelaziz Bouteflika, occupe aujour

  • Boualem Branki

    La loi de finances 2016 n’est pas austère. Contrairement à ce qui a été pronostiqué par ‘’les experts’’, le dernier Conseil des ministres, présidé par le Président Bouteflika, a adopté en réalité une loi de finances qui prend en compte autant le ress

  • Walid B

    C'est dans le contexte d'un large mouvement de réformes sécuritaires et politiques, lancé en 2011, avec la levée de l'état d'urgence et la mise en chantier de plusieurs lois à portée politique, que ce processus sera couronné prochainement par le proj

  • Boualem Branki

    La solidité des institutions algériennes, la valorisation des acquis sociaux et leur développement, tels ont été les grands messages livrés hier lundi à Bechar par le ministre de l'Intérieur et des Collectivités locales Nouredine Bédoui.

  • DK NEWS

    Le gouvernement ne semble pas connaître de répit en cette période estivale. Les ministres sont tous sur le terrain pour préparer la rentrée sociale qui interviendra début septembre prochain.

  • Walid B

    Dans un contexte géopolitique régional et international marqué par des bouleversements de toutes sortes et des défis multiples, la consolidation du front interne s'impose comme unique voie pour faire face à toutes les menaces internes..

  • Walid B

    Après le Sud, le premier ministre Abdelmalek Sellal met le cap sur l'Ouest du pays où il est attendu aujourd'hui dans les wilayas d'Oran et de Mascara pour une visite de travail et d'inspection.